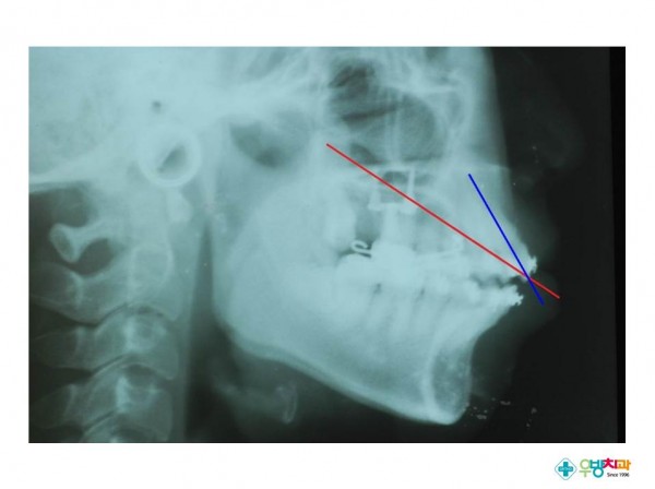
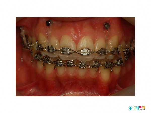
[Gummy smile, protrusion 환자 적용]
페이지 정보
작성자 관리자 작성일17-09-20 13:59 조회794회 댓글0건첨부파일
-
Nonextraction treatment with temporary skeletal anchorage devices to correct a Class II Division 2 malocclusion with excessive2.pdf
(4.4M)
23회 다운로드
DATE : 2017-09-20 13:59:16
관련링크
본문
댓글목록
등록된 댓글이 없습니다.







